Ученые нашли у человека новый орган
 © Eric V. Grave
                  © Eric V. Grave
 
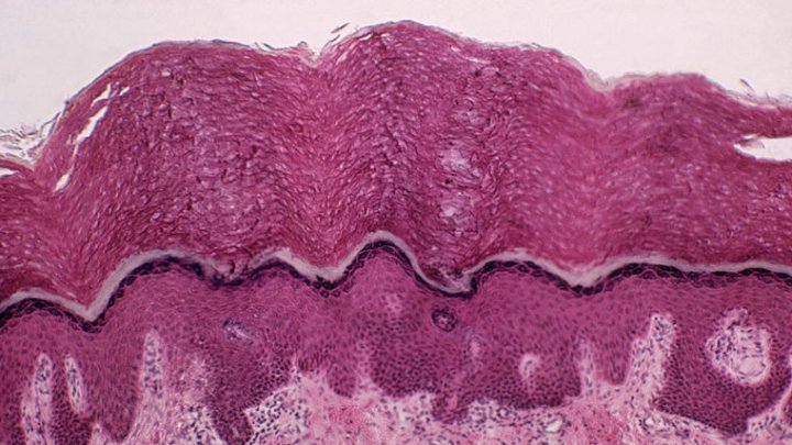
                          Он представляет собой сеть полостей, заполненных жидкостью, и располагается в соединительной ткани по всему телу.
Новый орган назвали «интерстиций». Ранее считалось, что это своеобразный барьер из коллагена, но оказалось, что это связующая ткань, состоящая из полостей с жидкостью. Считается, что она предназначена для защиты органов от механических повреждений.
Но открытие интерстиция очень важно с точки зрения лечения и прогнозирования развития раковых заболеваний, так как жидкость в этих полостях может быть ответственна за распространение метастазов, передает Моя Планета.
Издание LiveScience сообщает, что открытие стало возможным благодаря новым технологиям: старые методы микроскопического исследования не показывали интерстиций. Соединительную ткань сейчас изучают с помощью эндоскопии, лазера и флуоресцентных красителей.
 
			